جير

جير الأسنان: أسبابه وطرق علاجه بشكل فعّال
2 يناير 2024
[email protected]

جير الأسنان: أسبابه وطرق علاجه بشكل فعّال

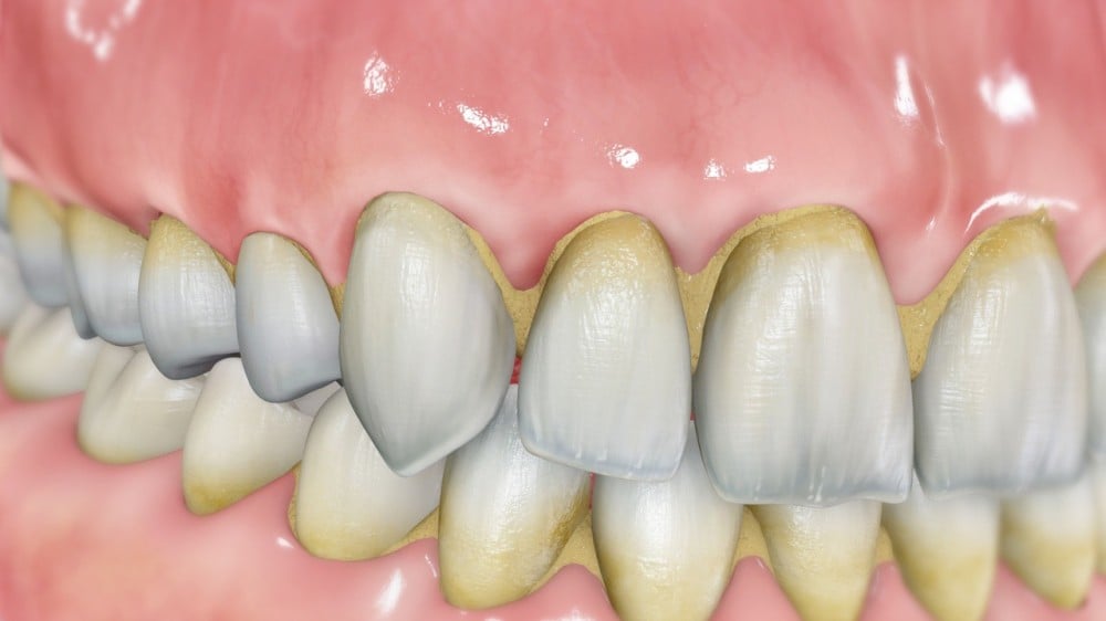
إن الاهتمام بصحة الفم والأسنان له أهمية خاصة لضمان الحفاظ على ابتسامة جميلة والوقاية من مشاكل صحية